reklama

Krotoszyn. Dziecko połknęło agrafkę, lekarka stanęła przed sądem. Rodzice nie chcą jej ukarania

Opublikowano: Aktualizacja: 
Autor:

Krotoszyn. Dziecko połknęło agrafkę, lekarka stanęła przed sądem. Rodzice nie chcą jej ukarania - Zdjęcie główne

reklama
Udostępnij na:
Facebook

Przeczytaj również:

WiadomościPo czterech latach zakończyła się głośna sprawa związana z 6-miesięcznym Kubusiem, którego rodzice przywieźli do krotoszyńskiego szpitala po tym, jak chłopiec połknął agrafkę. Lekarka odesłała ich do Ostrowa Wlkp., gdzie musieli jechać własnym samochodem. Prokurator uznał, że naraziła dziecko na niebezpieczeństwo utraty życia. Teraz jednak rodzice chłopca zdecydowali, że nie chcą, by lekarka była ścigana i ukarana.
reklama

Wszystko rozegrało się w piątkowe popołudnie, 28 września 2018 roku. Mama 6-miesięcznego Kubusia, mieszkanka powiatu krotoszyńskiego, właśnie wróciła z nim ze spaceru. Malec spał w wózku w korytarzu ich domu. W pewnym momencie przebudził się i po chwili zaczął płakać.

Podeszłam do niego, prężył się, bardzo głośno płakał. Zobaczyłam, że w rączce trzymał medalik, który był przypięty agrafką w wózku. Tylko agrafki nigdzie nie było – opowiadała kobieta na łamach "Gazety Krotoszyńskiej".

Domownicy rozpoczęli poszukiwania agrafki. Niestety, nigdzie jej nie było. Babcia Kubusia zaczęła podejrzewać najgorsze.

Powiedziałam synowej, że pewnie połknął agrafkę. Nie zwlekając szybko wsiedli do samochodu i pojechali na pogotowie – mówiła nam babcia dziecka.

reklama

Krotoszyn. Dziecko połknęło agrafkę. Lekarka ich odesłała

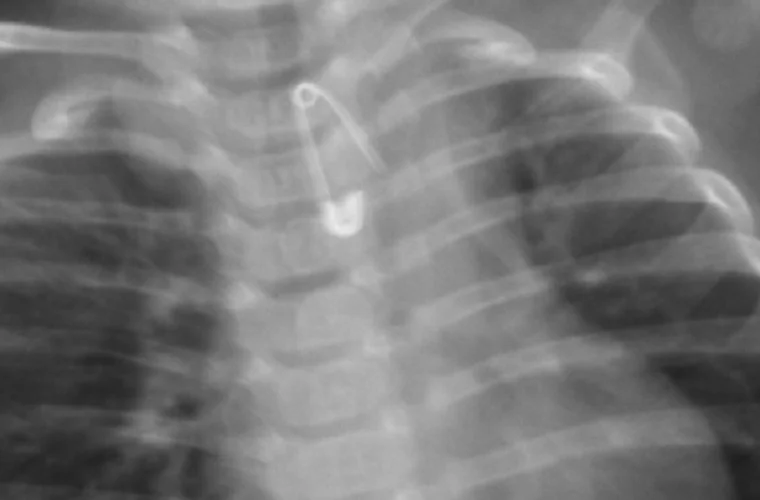
Rodzice z 6-miesięcznym Kubusiem natychmiast wsiedli w samochód i pojechali do szpitala w Krotoszynie. I choć - jak wykazało zdjęcie rentgenowskie - malec połknął 2-centymetrową agrafkę, która, rozwarta, skierowana była ostrzem w dół w przełyku chłopca - lekarka pełniąca dyżur w Szpitalnym Oddziale Ratunkowym w Krotoszynie kazała rodzicom zawieźć chłopca do szpitala w Ostrowie Wlkp. 

Na miejscu wykonano badanie RTG przełyku i jamy brzusznej, które potwierdziło obecność w przełyku ciała obcego. Po wykonaniu tego badania, pełniąca wówczas dyżur oskarżona lekarka, nie wykonując dalszej diagnostyki i nie zapoznając się z dokumentacją medyczną chłopca, poleciła rodzicom przetransportowanie chłopca do Szpitala w Ostrowie Wielkopolskim ich prywatnym samochodem - tłumaczył Krzysztof Bukowiecki, rzecznik prasowy prokuratury regionalnej w Łodzi.

reklama

Dziecko połknęło agrafkę. Rodzice zawieźli je do Ostrowa Wlkp.

Rodzice natychmiast wyruszyli w drogę. W międzyczasie malec zaczął się krztusić. W Biadkach zauważyli policyjny patrol. Poprosili mundurowych o pomoc w dotarciu do celu. Pod eskortą radiowozów z Krotoszyna i Ostrowa, na sygnałach, udało się dotrzeć do ostrowskiego szpitala. 

Ostatecznie dziecko już karetką zostało przetransportowane do Wrocławia, gdzie podczas zabiegu laparoskopem lekarze wyjęli agrafkę wczepioną w struktury przełyku maluszka.

Upomnienie od dyrekcji krotoszyńskiego szpitala

Rodzice 6-miesięcznego Kubusia byli oburzeni postępowaniem lekarki z krotoszyńskiego szpitala. Powiadomili o wszystkim dyrekcję lecznicy. Ta wszczęła kontrolę. I choć początkowo próbowano bagatelizować sprawę - ostatecznie dyrektor ds. medycznych - Mieczysław Pełko - ukarał lekarkę pisemnym upomnieniem.

Ubolewamy, że lekarka pełniąca dyżur na SOR-ze, kierując się dobrym stanem zdrowia dziecka w chwili jego pobytu na oddziale, nie podjęła obowiązku zabezpieczenia dowozu pacjenta transportem medycznym do szpitala w Ostrowie Wlkp. Była to jej samodzielna decyzja.(…) Dyrekcja szpitala ocenia postępowanie lekarki w zakresie przekazania pacjenta (...) jako niewłaściwe - napisał w oświadczeniu szpitalny rzecznik, Sławomir Pałasz.

reklama

Dyrekcja zapowiedziała też nadzór nad dalszą pracą lekarki.

Zarzuty dla lekarki ze szpitala w Krotoszynie

Tym, co wydarzyło się w krotoszyńskim szpitalu zainteresowała się również prokuratura. Śledczy z Prokuratury Regionalnej w Łodzi powołali biegłego z zakresu ratownictwa medycznego i przesłuchali lekarzy, którzy zajmowali się chłopcem.

Biegły z zakresu chirurgii ogólnej, medycyny ratunkowej i zdrowia psychicznego stwierdził, że krotoszyńska lekarka dopuściła się szeregu uchybień w postępowaniu diagnostyczno-leczniczym.

Polegały one na braku badania pacjenta, niewykonaniu niezbędnych badań dodatkowych, odesłaniu dziecka transportem prywatnym do szpitala, z którym nie uzgodniono ani przyjęcia, ani możliwości wyleczenia chorego - informował Krzysztof Bukowiecki, rzecznik prasowy prokuratury regionalnej w Łodzi.

reklama

Śledczy stwierdzili, że decyzja o przewiezieniu Kubusia transportem innym niż karetka narażała go na bezpośrednie niebezpieczeństwo utraty życia albo ciężkiego uszczerbku na zdrowiu.

Przesłuchana została także lekarka ze szpitala w Krotoszynie. Kobieta złożyła obszerne wyjaśnienie i nie przyznała się do winy. Śledztwo zostało zakończone, a prokurator skierował do sądu akt oskarżenia.

Prokuratura Regionalna w Łodzi zakończyła postępowanie prowadzone przeciwko lekarzowi medycyny w związku z narażeniem na bezpośrednie niebezpieczeństwo utraty zdrowia i życia albo ciężkiego uszczerbku na zdrowiu sześciomiesięcznego chłopca, kierując w tej sprawie akt oskarżenia do Sądu Rejonowego w Krotoszynie - wskazywał rzecznik prasowy prokuratury regionalnej w Łodzi.

Rodzice nie chcą, by lekarka była ukarana

W lipcu 2021 roku sąd w Krotoszynie uznał lekarkę winną zarzucanego jej czynu. Zmienił jednak jego kwalifikację uznając, że zachowanie oskarżonej było nieumyślne. Lekarkę skazano na grzywnę w wysokości 45 tys. zł i obowiązek pokrycia kosztów postępowania sądowego w wysokości 8 tys. zł. 

Zarówno obrona, jak i prokurator złożyli do Sądu Okręgowego w Kaliszu apelację. 

Sąd w Kaliszu uhylił wyrok krotoszyńskiego sądu i umorzył całe postępowanie wskazując, że - po tym, jak zmieniono kwalifikację czynu - zabrakło wniosku o ściganie od pokrzywdzonej. 

Według prawa, przestępstwo umyślne ścigane jest "z urzędu", jednak w przypadku przestępstwa nieumyślnego, to pokrzywdzeni muszą złożyć wniosek o ściganie. Okazało się, że rodzice pokrzywdzonego chłopca nie chcą, by lekarka została ukarana. 

Rodzice dziecka, które połknęło agrafkę, a lekarka naraziła je na bezpośrednie niebezpieczeństwo utraty życia złożyli oświadczenie, że nie żądają ścigana i ukarania kobiety - powiedział PAP rzecznik Prokuratury Regionalnej w Łodzi prokurator Krzysztof Bukowiecki.

 

reklama
reklama
Udostępnij na:
Facebook
wróć na stronę główną

ZALOGUJ SIĘ

Twoje komentarze będą wyróżnione oraz uzyskasz dostęp do materiałów PREMIUM

e-mail
hasło

Zapomniałeś hasła? ODZYSKAJ JE

reklama
Komentarze (0)

Wysyłając komentarz akceptujesz regulamin serwisu. Zgodnie z art. 24 ust. 1 pkt 3 i 4 ustawy o ochronie danych osobowych, podanie danych jest dobrowolne, Użytkownikowi przysługuje prawo dostępu do treści swoich danych i ich poprawiania. Jak to zrobić dowiesz się w zakładce polityka prywatności.

Wczytywanie komentarzy
reklama
reklama
logo