reklama

Krotoszyn. Dziecko połknęło agrafkę. Lekarka usłyszała zarzuty

Opublikowano:
Autor: M.P.

Krotoszyn. Dziecko połknęło agrafkę. Lekarka usłyszała zarzuty - Zdjęcie główne
Udostępnij na:
Facebook
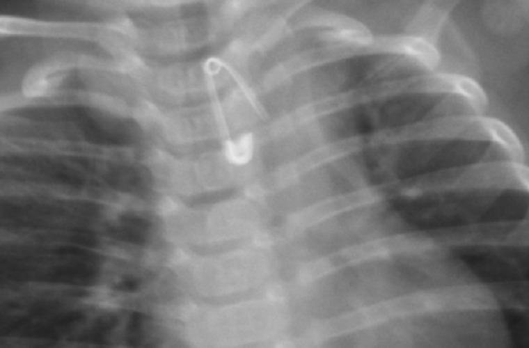
Wiadomości6-miesięczny Kubuś, który połknął agrafkę został przywieziony przez rodziców do krotoszyńskiego szpitala.

Wszystko rozegrało się w piątkowe popołudnie, 28 września 2018 roku. Mama 6-miesięcznego Kubusia, mieszkanka powiatu krotoszyńskiego, właśnie wróciła z nim ze spaceru. Malec spał w wózku w korytarzu ich domu. W pewnym momencie przebudził się i po chwili zaczął płakać.

- Podeszłam do niego, prężył się, bardzo głośno płakał. Zobaczyłam, że w rączce trzymał medalik, który był przypięty agrafką w wózku. Tylko agrafki nigdzie nie było – opowiadała kobieta na łamach "Gazety Krotoszyńskiej".

Domownicy rozpoczęli poszukiwania agrafki. Niestety, nigdzie jej nie było. Babcia Kubusia zaczęła podejrzewać najgorsze.

- Powiedziałam synowej, że pewnie połknął agrafkę. Nie zwlekając szybko wsiedli do samochodu i pojechali na pogotowie – mówiła nam babcia dziecka.

Rodzice z 6-miesięcznym Kubusiem natychmiast wsiedli w samochód i pojechali do szpitala w Krotoszynie. I choć, jak wykazało zdjęcie rentgenowskie - malec połknął 2-centymetrową agrafkę, która, rozwarta, skierowana była ostrzem w dół w przełyku chłopca - lekarka pełniąca dyżur w Szpitalnym Oddziale Ratunkowym w Krotoszynie kazała rodzicom zawieźć chłopca do szpitala w Ostrowie Wlkp. I choć w tym czasie na stanie były dwie karetki kazała im jechać własnym samochodem.

SAMOCHODEM DO OSTROWA, W ESKORCIE POLICJI

Rodzice natychmiast wyruszyli w drogę. W międzyczasie malec zaczął się krztusić. W Biadkach zauważyli policyjny patrol. Nie zwlekając, poprosili mundurowych o pomoc w dotarciu do celu. I tak pod eskortą radiowozów z Krotoszyna i Ostrowa na sygnałach udało się dotrzeć na miejsce. Ostatecznie dziecko już karetką zostało przetransportowane do Wrocławia, gdzie podczas zabiegu laparoskopem lekarze wyjęli agrafkę wczepioną w struktury przełyku maluszka.

UPOMNIENIE OD DYREKCJI KROTOSZYŃSKIEGO SZPITALA

Trudno się jednak dziwić, że rodzice malca byli oburzeni postepowaniem lekarki z krotoszyńskiego szpitala. Powiadomili o wszystkim dyrekcję szpitala w Krotoszynie. Ta wszczęła kontrolę. I choć początkowo próbowano bagatelizować sprawę – ostatecznie dyrektor ds. medycznych - Mieczysław Pełko - ukarał lekarkę pisemnym upomnieniem.

- Ubolewamy, że lekarka pełniąca dyżur na SOR-ze, kierując się dobrym stanem zdrowia dziecka w chwili jego pobytu na oddziale, nie podjęła obowiązku zabezpieczenia dowozu pacjenta transportem medycznym do szpitala w Ostrowie Wlkp. Była to jej samodzielna decyzja.(…) Dyrekcja szpitala ocenia postępowanie lekarki w zakresie przekazania pacjenta (...) jako niewłaściwe. – napisał w oświadczeniu szpitalny rzecznik, Sławomir Pałasz.

Lekarka, która przyjęła Kubusia, otrzymała pisemne upomnienie od zastępcy dyrektora szpitala do spraw medycznych krotoszyńskiej lecznicy. Dyrekcja zapowiedziała też nadzór nad dalszą pracą lekarki.

ZARZUTY DLA LEKARKI Z KROTOSZYŃSKIEGO SZPITALA

Postępowaniem lekarki z krotoszyńskiego szpitala zainteresowała się również prokuratura. Śledczy powołali biegłego z zakresu ratownictwa medycznego i przesłuchali lekarzy, którzy zajmowali się chłopcem. 

Lekarka usłyszała zarzut narażenia chłopca na bezpośrednie niebezpieczeństwo utraty życia albo ciężkiego uszczerbku na zdrowiu. Grozi jej za to pięć lat pozbawienia wolności. 

Lekarka z krotoszyńskiego szpitala nie przyznała się do winy i złożyła wyjaśnienia, które będą teraz weryfikowane przez prokuraturę. 

 

Udostępnij na:
Facebook
wróć na stronę główną

ZALOGUJ SIĘ

Twoje komentarze będą wyróżnione oraz uzyskasz dostęp do materiałów PREMIUM

e-mail
hasło

Zapomniałeś hasła? ODZYSKAJ JE

logo