reklama

Krotoszyn. Kubuś połknął agrafkę. Lekarka naraziła go na utratę życia? Jest akt oskarżenia.

Opublikowano:
Autor: M.P.

Krotoszyn. Kubuś połknął agrafkę. Lekarka naraziła go na utratę życia? Jest akt oskarżenia. - Zdjęcie główne
Udostępnij na:
Facebook

Przeczytaj również:

WiadomościRodzice 6-miesięcznego Kubusia, który połknął agrafkę przywieźli go do Szpitalnego Oddziału Ratunkowego w Krotoszynie. Dyżurująca lekarka odesłała ich jednak do szpitala w Ostrowie Wlkp. Prokurator stwierdził, że swoim postępowaniem lekarka naraziła dziecko na utratę życia i zdrowia. Grozi jej za to nawet 5 lat więzienia.

Wszystko rozegrało się w piątkowe popołudnie, 28 września 2018 roku. Mama 6-miesięcznego Kubusia, mieszkanka powiatu krotoszyńskiego, właśnie wróciła z nim ze spaceru. Malec spał w wózku w korytarzu ich domu. W pewnym momencie przebudził się i po chwili zaczął płakać.

Podeszłam do niego, prężył się, bardzo głośno płakał. Zobaczyłam, że w rączce trzymał medalik, który był przypięty agrafką w wózku. Tylko agrafki nigdzie nie było – opowiadała kobieta na łamach "Gazety Krotoszyńskiej".

Domownicy rozpoczęli poszukiwania agrafki. Niestety, nigdzie jej nie było. Babcia Kubusia zaczęła podejrzewać najgorsze.

Powiedziałam synowej, że pewnie połknął agrafkę. Nie zwlekając szybko wsiedli do samochodu i pojechali na pogotowie – mówiła nam babcia dziecka.

 

Krotoszyńska lekarka odesłała rodziców z dzieckiem

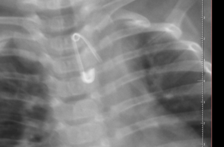
Rodzice z 6-miesięcznym Kubusiem natychmiast wsiedli w samochód i pojechali do szpitala w Krotoszynie. I choć - jak wykazało zdjęcie rentgenowskie - malec połknął 2-centymetrową agrafkę, która, rozwarta, skierowana była ostrzem w dół w przełyku chłopca - lekarka pełniąca dyżur w Szpitalnym Oddziale Ratunkowym w Krotoszynie kazała rodzicom zawieźć chłopca do szpitala w Ostrowie Wlkp. Chociaż w tym czasie na stanie były dwie karetki kazała im jechać własnym samochodem.

Na miejscu wykonano badanie RTG przełyku i jamy brzusznej, które potwierdziło obecność w przełyku ciała obcego. Po wykonaniu tego badania, pełniąca wówczas dyżur oskarżona lekarka, nie wykonując dalszej diagnostyki i nie zapoznając się z dokumentacją medyczną chłopca poleciła rodzicom przetransportowanie chłopca do Szpitala w Ostrowie Wielkopolskim ich prywatnym samochodem – tłumaczy Krzysztof Bukowiecki, rzecznik prasowy prokuratury regionalnej w Łodzi.

 

SAMOCHODEM DO OSTROWA, W ESKORCIE POLICJI

Rodzice natychmiast wyruszyli w drogę. W międzyczasie malec zaczął się krztusić. W Biadkach zauważyli policyjny patrol. Nie zwlekając, poprosili mundurowych o pomoc w dotarciu do celu. I tak pod eskortą radiowozów z Krotoszyna i Ostrowa na sygnałach udało się dotrzeć na miejsce.

Ostatecznie dziecko już karetką zostało przetransportowane do Wrocławia, gdzie podczas zabiegu laparoskopem lekarze wyjęli agrafkę wczepioną w struktury przełyku maluszka.

 

UPOMNIENIE OD DYREKCJI KROTOSZYŃSKIEGO SZPITALA

Trudno się jednak dziwić, że rodzice 6-miesięcznego Kubusia byli oburzeni postępowaniem lekarki z krotoszyńskiego szpitala. Powiadomili o wszystkim dyrekcję szpitala w Krotoszynie. Ta wszczęła kontrolę. I choć początkowo próbowano bagatelizować sprawę – ostatecznie dyrektor ds. medycznych - Mieczysław Pełko - ukarał lekarkę pisemnym upomnieniem.

 

Ubolewamy, że lekarka pełniąca dyżur na SOR-ze, kierując się dobrym stanem zdrowia dziecka w chwili jego pobytu na oddziale, nie podjęła obowiązku zabezpieczenia dowozu pacjenta transportem medycznym do szpitala w Ostrowie Wlkp. Była to jej samodzielna decyzja.(…) Dyrekcja szpitala ocenia postępowanie lekarki w zakresie przekazania pacjenta (...) jako niewłaściwe. – napisał w oświadczeniu szpitalny rzecznik, Sławomir Pałasz.

Lekarka, która przyjęła Kubusia, otrzymała pisemne upomnienie od zastępcy dyrektora szpitala do spraw medycznych krotoszyńskiej lecznicy. Dyrekcja zapowiedziała też nadzór nad dalszą pracą lekarki.

 

ZARZUTY DLA LEKARKI Z KROTOSZYŃSKIEGO SZPITALA

Postępowaniem lekarki z krotoszyńskiego szpitala zainteresowała się również prokuratura. Śledczy z Prokuratury Regionalnej w Łodzi powołali biegłego z zakresu ratownictwa medycznego i przesłuchali lekarzy, którzy zajmowali się chłopcem.

Biegły z zakresu chirurgii ogólnej, medycyny ratunkowej i zdrowia psychicznego stwierdził, że krotoszyńska lekarka dopuściła się szeregu uchybień w postępowaniu diagnostyczno – leczniczym.

Polegały one na braku badania pacjenta, niewykonaniu niezbędnych badań dodatkowych, odesłaniu dziecka transportem prywatnym do szpitala, z którym nie uzgodniono ani przyjęcia, ani możliwości wyleczenia chorego - informuje Krzysztof Bukowiecki, rzecznik prasowy prokuratury regionalnej w Łodzi.

Śledczy stwierdzili, że decyzja o przewiezieniu Kubusia transportem innym niż karetka narażała go na bezpośrednie niebezpieczeństwo utraty życia albo ciężkiego uszczerbku na zdrowiu.

Przesłuchana została także lekarka ze szpitala w Krotoszynie. Kobieta złożyła obszerne wyjaśnienie i nie przyznała się do winy. Śledztwo zostało zakończone, a prokurator skierował do sądu akt oskarżenia.

Prokuratura Regionalna w Łodzi zakończyła postępowanie prowadzone przeciwko lekarzowi medycyny w związku z narażeniem na bezpośrednie niebezpieczeństwo utraty zdrowia i życia albo ciężkiego uszczerbku na zdrowiu sześciomiesięcznego chłopca, kierując w tej sprawie akt oskarżenia do Sądu Rejonowego w Krotoszynie – wskazuje rzecznik prasowy prokuratury regionalnej w Łodzi.

Lekarce grozi kara nawet 5 lat pozbawienia wolności.

 

Udostępnij na:
Facebook
wróć na stronę główną

ZALOGUJ SIĘ

Twoje komentarze będą wyróżnione oraz uzyskasz dostęp do materiałów PREMIUM

e-mail
hasło

Zapomniałeś hasła? ODZYSKAJ JE

logo